研究内容
人間は新しい環境でもリアルタイムに適切な行動するができます。このような脳の働きは、機能分散的な脳局所モジュールが状況に応じて柔軟かつ協調的に働くためと考えられます。私はこの神経基盤として「神経活動の同期現象」に注目し、数理モデルと脳計測実験を組み合わせた研究をしています。興味のある研究キーワード:視覚、空間認知、記憶、エピソード記憶、神経同期活動、数理モデル、理論―実験融合解析、脳波、眼球運動、知覚―運動サイクル、コミュニケーション、創発性、など。
研究の魅力
人間を理解するためには、脳の働きを明らかにすることが重要です。脳科学は未知の分野が広大にあり、脳の本質的な理解のための新しい研究アプローチが求められています。
実績
- 自律移動物体に関わる認知地図の神経機構の理解(学術変革A、2024-2026)
- テキスト理解を測る脳波指標の開発(基盤研究C、2021-2024)
- 皮質脳波の情報回路解析に基づく神経表象変換メカニズムの検討(新学術領域、2018-2020)
- 記憶想起における大域脳回路ダイナミクスの解明(挑戦的萌芽、2016-2019)
- 脳波コヒーレンスによる情報回路の推定 (新学術領域、2016-2018)
- 共起語ネットワークを用いた記憶の神経回路モデルの構築と検証(新学術領域、2014-2016)
主な著作・論文
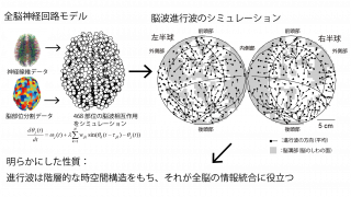
- Sato, N. (2022). Cortical traveling waves reflect state-dependent hierarchical sequencing of local regions in the human connectome network. Sci Rep, 12(1). https://doi.org/10.1038/s41598-021-04169-9
- Sato, N., Matsumoto, R., Shimotake, A., Matsuhashi, M., Otani, M., Kikuchi, T., Kunieda, T., Mizuhara, H., Miyamoto, S., Takahashi, R., & Ikeda, A. (2021). Frequency-Dependent Cortical Interactions during Semantic Processing: An Electrocorticogram Cross-spectrum Analysis Using a Semantic Space Model. Cereb Cortex, 31(9), 4329-4339. https://doi.org/10.1093/cercor/bhab089
- Sato, N, Mizuhara H (2018) Successful encoding during natural reading is associated with fixation-related potentials and large-scale network deactivation. eNeuro 5(5), ENEURO.0122-18.
- Sato, N. (2018) Words-in-sequence memory formed by eye movement sequences during reading: A network model based on theta phase coding. Neural Processing Letters 47(3) 1027-1039.
- 佐藤直行 (2017)ヒト海馬の神経回路モデルの構築. 人工知能学会誌, 32(6) 851-856.
