コンテンツへスキップ
Ja
En
大学案内
新着情報
入試情報
Ja
En
概要
・
特色
学部
大学院
学生生活
教員
・
学外連携
組織
・
センター
お
問合せ
・
アクセス
資料請求
・
証明書
公募情報
News
Events
Activities
お
問合せ
・
アクセス
資料請求
・
証明書
公募情報
あなたの検索キーワード
おすすめ検索キーワード
一般選抜
入試
卒業生インタビュー
北のフロンティア
プロジェクト学習
データサイエンス
理事長・学長メッセージ
先端領域を先端的教育で
社会をデザインする大学
沿革
学術交流ネットワーク
地域の大学間連携
施設紹介
サテライトラボ
未来大のデータサイエンス
FUN MOVIE
enPiT
大学データ
記念誌
住民交流施設の利用
公立はこだて未来大学振興基金
ご寄附のお願い
寄附のお申し込み方法
税制上の優遇措置
寄附状況・寄附者のご芳名
海外留学助成制度
遺贈寄附について
システム情報科学部
システム情報科学部概要
カリキュラム概要
プロジェクト学習
メタ学習ラボ / コネクションズ・カフェ
シラバス検索
就職・進学データ
未来大生が選ぶ高満足度授業
情報アーキテクチャ学科
情報システムコース
高度ICTコース
情報デザインコース
複雑系知能学科
複雑系コース
知能システムコース
3つのポリシー
学部アドミッション・ポリシー
学部カリキュラム・ポリシー
学部ディプロマ・ポリシー
生成系AI・翻訳AIの利用についての基本方針
システム情報科学研究科
研究科長メッセージ
大学院概要
カリキュラム概要
シラバス検索
就職・進学データ
未来大生が選ぶ高満足度授業
3つのポリシー
大学院アドミッション・ポリシー
大学院カリキュラム・ポリシー
大学院ディプロマ・ポリシー
大学院入試情報
大学院入試情報
博士(前期)課程 募集概要
博士(後期)課程 募集概要
過去の大学院入試問題
教育研究領域
情報アーキテクチャ領域
高度ICT領域
メディアデザイン領域
複雑系情報科学領域
知能情報科学領域
生成系AI・翻訳AIの利用についての基本方針
年間スケジュール
入学料・授業料免除および奨学金
キャリア・就職支援
eduroam(学内向け情報)
WEB学生便覧
未来大の歩き方
授業のすすめ
課外活動のすすめ
住まいと暮らし
未来大生の出身地
未来大について話そう
留学・国際交流
留学生受入
留学生派遣
国際交流支援
教員
教員
名誉教授一覧
研究
学術成果アーカイブ
研究活動上の不正防止
実験等に関する情報公開
研究成果の公開ポリシー
社会連携・産学連携
地域との連携・公開講座
研究シーズ・共同研究・技術移転
産学連携
スタートアップ支援
オープンデータの取り組み
社会連携に関するポリシー
情報ライブラリー(図書館)
メタ学習センター
社会連携センター
情報システムデザインセンター
未来AI研究センター
Activity
プレスリリース
2022-01-26
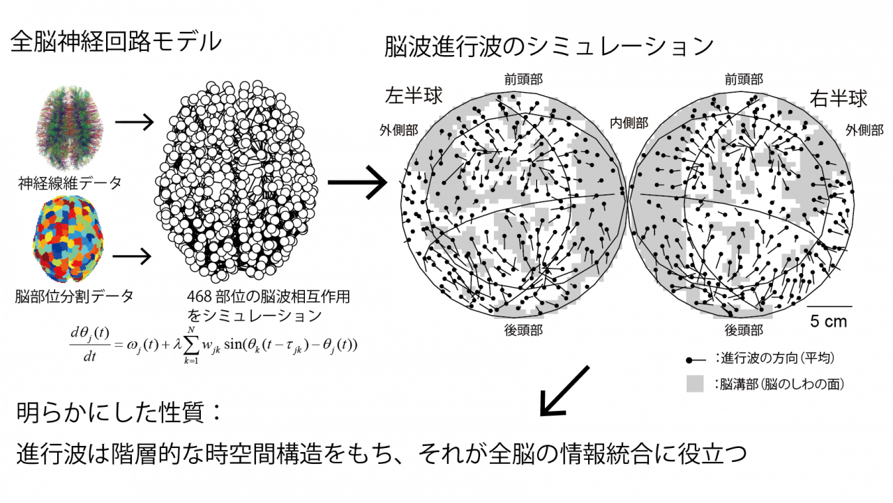
大脳皮質上の
脳波進行波が
脳の
情報統合に
役立つことを
発見
関係教員
佐藤 直行